Sponsored Links
Loading...
Loading...
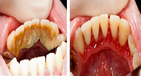
Karang gigi yakni mineral dep0s! t berwarna kuning atau cokelat yang melekat pada gigi, yang bisa mengakibatkan peri0d0ntitas, terlebih jika ditinggalkan sekian saja tak ada usaha untuk membersihkannya.
Untuk singkirkan karang gigi, umumnya orang bakal pergi ke dokter, namun sesungguhnya, Anda dapat juga lakukan prosedur ini sendiri dirumah.
Tetapi yang perlu diingat yaitu, cara tersebut akan tidak singkirkan karang gigi secepat yang ditangani oleh dokter gigi. Untuk singkirkan karang yang menumpuk, banyak terdapat pilihan penyembuhan.
Sebagian bahan yang diperlukan yakni :
Hidr0gen per0ksid4
Air
Bubuk soda kue
Garam
Antiseptik pencuci mulut
Dent4l pick
Sikat gigi
Langkahnya :
Campur satu cangkir hidr0gen per0ksida dengan 1/2 cangkir air hangat, lantas kumurlah dengan kombinasi itu selama satu menit. Buang, lantas bersihkan dengan 1/2 cangkir air dingin.
Alat yang paling umum dan efektif untuk singkirkan karang gigi yakni baking soda. Campur 1 sendok makan baking soda
dengan 1/2 sendok teh garam dalam cangkir. Lantas, rendam sikat gigi di air hangat dan celupkan dalam kombinasi. Awalilah menyikat gigi Anda menggunakan kombinasi itu. Semuanya sistem harus dikerjakan selama 5 menit.
Bilas mulut dengan antiseptik pencuci mulut.
Pakai dental pick untuk bersihkan karang pada gigi. Lakukan dengan hati-hati, agar tidak meng!k!s dan menyebabkan rusaknya gusi Anda.
Untuk peroleh gigi putih bak mutiara dan senyum yang indah ikuti tips berikut ini :
1. Mengkonsumsi keju.
Makanlah keju Swiss atau cheddar sebelumnya makan, hal semacam itu akan membantu menetralisir asam penyebab karang gigi.
2. Stroberi dan tomat.
Tomat dan stroberi yaitu buah yang menakjubkan membuat perlindungan kesehatan mulut, karena keduanya kaya vitamin C. Keduanya bisa memutihkan gigi dan menghaluskan karang gigi. Cukup gosokkan selekasnya tomat dan stroberi ke gigi dan diamkan selama 5 menit. Anda dapat kerjakan langkah yang sama, menggunakan makanan lain yang juga kaya vitamin C, seperti jeruk nipis, jeruk, lemon, paprika dan pepaya. Lalu, basuh mulut Anda menggunakan gabungan yang terbuat dari baking soda dan air hangat.
Berikut tips untuk melindungi kesehatan mulut :
Anda harus teratur menggunakan benang gigi.
Bersihkan mulut Anda lewat cara alami menggunakan air l!ur yang dipicu dari makanan pedas yang akan menghasilkan kelenj4r lud4h.
Untuk mencegah bakteri berkembang biak, gosok gigi menggunakan kulit jeruk sebelum tidur tanpa dibilas. Saat menyikat gigi, gunakan sikat gigi yang lembut dan buat gerakan vertikal. Yakinkan untuk selalu membersihkan ruang pada gusi dan gigi.
Sponsored Links
Loading...
loading...
Sponsored Links
Loading...
Loading...

Blogger Comment
Facebook Comment